O IPMN, sigla em inglês para Neoplasia Mucinosa Papilar Intraductal, é uma condição que afeta o pâncreas e vem ganhando maior atenção nos últimos anos devido aos avanços nos métodos de diagnóstico por imagem.
Este tipo de lesão é considerada pré-maligno, ou seja, tem o potencial de evoluir para um câncer de pâncreas. Porém, nem todos os casos exigem intervenção imediata.
Compreender melhor o IPMN e qual o risco de cada paciente de desenvolver câncer de pâncreas são fundamentais para pacientes e médicos. O manejo adequado pode salvar vidas e evitar procedimentos desnecessários.
O Que É o IPMN?
O IPMN é uma lesão caracterizada pela produção excessiva de muco dentro dos ductos pancreáticos.
A produção de muco e outras alterações podem “machucar” os ductos pancreáticos lentamente, fazendo com que mudem e possam ao longo do tempo desenvolver um câncer.
Essa condição pode surgir em qualquer parte do pâncreas, afetando tanto o ducto principal quanto os ramos laterais.
O principal fator de risco associado ao IPMN é genético. Hoje ainda não temos exames apropriados para prever risco, o que deve estar disponível no mercado em alguns anos.
A idade avançada é uma característica importante. IPMNs são mais prevalentes em indivíduos acima dos 60 anos.
Na verdade, as lesões são detectadas nesta idade mas possivelmente se desenvolvem anos antes e não geram sintomas e não aparecem nos exames mais avançados disponíveis atualmente.
Além disso, estudos apontam que a condição é levemente mais comum em homens.
Os IPMNs são classificados em três tipos principais, dependendo da localização:
- IPMN do Ducto Principal: Apresenta maior risco de malignidade, exigindo monitoramento rigoroso.
- IPMN dos Ramos Laterais: Geralmente possui menor risco de malignidade, mas ainda requer acompanhamento médico.
- IPMN Misto: Envolve tanto o ducto principal quanto os ramos laterais, sendo frequentemente tratado como o tipo do ducto principal devido ao maior potencial de evolução para câncer.
Causas e Fatores de Risco
Embora a causa exata do IPMN não seja totalmente compreendida, alguns fatores de risco foram identificados:
- Idade: O risco aumenta significativamente com o envelhecimento.
- Histórico Familiar: Indivíduos com familiares próximos que tiveram câncer de pâncreas podem ter maior predisposição ao IPMN.
- Doenças Associadas: Condições como pancreatite crônica e tabagismo são fatores de risco conhecidos.
- Síndromes Genéticas: Algumas síndromes hereditárias, como a síndrome de Lynch, estão associadas ao desenvolvimento de IPMN.
Sintomas
O IPMN pode ser assintomático, especialmente nos estágios iniciais. No entanto, alguns pacientes podem apresentar sintomas como:
- Dor abdominal, geralmente localizada na parte superior do abdômen;
- Perda de peso inexplicada;
- Náusea e vômitos;
- Diarreia ou fezes gordurosas;
- Pancreatite recorrente;
- Icterícia (amarelamento da pele e dos olhos), especialmente em casos onde o ducto principal está obstruído.
É importante notar que esses sintomas não são exclusivos do IPMN e podem estar associados a outras condições pancreáticas ou gastrointestinais.
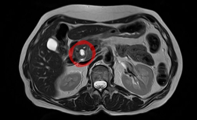
Diagnóstico
O diagnóstico do IPMN geralmente envolve uma combinação de exames de imagem, exames laboratoriais e, em alguns casos, procedimentos invasivos. As ferramentas mais comuns incluem:
Exames de Imagem
- Tomografia Computadorizada (TC): Permite identificar dilatações nos ductos pancreáticos e detectar a presença de cistos.
- Ressonância Magnética (RM) com Colangiopancreatografia por Ressonância Magnética (CPRM): Fornece imagens detalhadas do sistema de ductos pancreáticos e é especialmente útil para distinguir IPMN de outras lesões císticas.
- Ultrassonografia Endoscópica (USE): É um exame invasivo, mas oferece imagens de alta resolução e permite a coleta de amostras para análise.
Exames Laboratoriais
- CA 19-9: Um marcador tumoral que pode estar elevado em casos de malignidade.
- Análise do Líquido Cístico: A coleta de fluido do cisto pode ajudar a identificar marcadores de malignidade, como mucinas específicas.
Outros Procedimentos
- Biopsia: Em alguns casos, é necessário realizar uma biópsia para confirmar o diagnóstico.
Critérios de risco para câncer
Nas últimas décadas especialistas de todo o mundo se reuniram em grandes fóruns para discutir quais fatores realmente determinar o risco de câncer em pacientes com IPMN.
No Consensos de Fukuoka foi determinado qual tamanho e outras características destes cistos nos exames de ecoendoscopia e colangiorressonância são os maiores determinantes de risco para câncer.
Dentre os fatores de maior risco para IPMN desenvolver um câncer de pâncreas são:
- presença de ictericia
- presença de áreas sólidas que retenham contraste maiores que 5mm
- dilatação do ducto pancreático principal acima de 10mm
- cistos maiores que 3cm
- paredes do cisto grossas
- alteração brusca do ducto pancreático
- presença de gânglios linfáticos aumentados na região
- valor de CA 19-9 aumentados
- crescimento maior que 5mm ao ano
Quando Tratar o IPMN?
Nem todos os casos de IPMN exigem cirurgia imediata. O tratamento depende de vários fatores, incluindo:
- Tamanho do Cisto: Cistos maiores que 3 cm têm maior risco de malignidade.
- Características em Exames de Imagem: Presença de nódulos sólidos, paredes grossas, mudança de calibre, dilatação ou obstrução do ducto pâncreático principal.
- Sintomas: Pacientes com dor persistente ou icterícia podem necessitar de intervenção, episodios de pancreatite ou gânglios presentes.
- Histórico Familiar: Indivíduos com histórico de câncer pancreático na família podem exigir um manejo mais agressivo.
Opções de Tratamento
O tratamento do IPMN pode ser dividido em duas abordagens principais: monitoramento ativo e intervenção cirúrgica.
Monitoramento Ativo
Para casos de baixo risco, o monitoramento regular pode ser suficiente. Isso inclui:
- Exames de Imagem Periódicos: Geralmente realizados a cada 6 a 12 meses, dependendo das características do IPMN.
- Avaliação Clínica Regular: Para identificar qualquer novo sintoma ou mudança no quadro.
Essa abordagem é especialmente indicada para IPMNs dos ramos laterais sem sinais de malignidade.
Intervenção Cirúrgica
A cirurgia é recomendada para casos de alto risco ou quando há suspeita de malignidade. Os procedimentos mais comuns incluem:
- Pancreatectomia Parcial: Remoção da parte afetada do pâncreas, podendo incluir outros órgãos como baço, duodeno, estômago e canal da bile.
- Pancreatectomia Total: Remoção de todo o pâncreas, indicada em casos mais avançados.
- Cirurgia Robótica ou Laparoscópica: Técnicas minimamente invasivas que reduzem o tempo de recuperação e o risco de complicações.
Recuperação e Prognóstico
A recuperação após a cirurgia depende da extensão do procedimento e da saúde geral do paciente. Em geral:
- Pacientes submetidos a pancreatectomia parcial apresentam um tempo de recuperação mais curto.
- O manejo adequado de complicações pós-cirúrgicas, como diabetes ou insuficiência pancreática exócrina, é essencial para a qualidade de vida.
O prognóstico para pacientes com IPMN varia conforme o tipo e o estágio da lesão. Quando diagnosticado precocemente e tratado de forma adequada, o risco de progressão para câncer é significativamente reduzido.
Prevenção e Estilo de Vida
Embora não seja possível prevenir completamente o IPMN, algumas medidas podem ajudar a reduzir os riscos:
- Evitar o Tabagismo e o álcool: O cigarro e álcool estão associados a um maior risco de doenças pancreáticas.
- Manter uma Dieta Saudável: Uma alimentação equilibrada pode ajudar a prevenir doenças inflamatórias que afetam o pâncreas.
- Controle do Peso Corporal: A obesidade é um fator de risco para várias doenças do pâncreas.
- Acompanhamento Médico Regular: Especialmente para pessoas com histórico familiar de câncer pancreático.
Considerações Finais
O IPMN é uma condição que exige atenção médica especializada, mas o diagnóstico precoce e o manejo adequado podem oferecer excelentes resultados para os pacientes.
Se você ou alguém que conhece apresenta sintomas ou fatores de risco para IPMN, não hesite em procurar orientação médica especializada.
O Dr. Paolo Salvalaggio, cirurgião do aparelho digestivo com vasta experiência, está à disposição para oferecer um atendimento personalizado e humanizado. Entre em contato conosco e agende sua consulta acessando https://beacons.ai/paolosalvalaggio.
Agende sua consulta!
Estamos aqui para cuidar de você e da sua saúde com dedicação e expertise.
🎯 Agende Sua Consulta Agora! (Online ou Presencial): (11) 99295-2645📍 Atendimento em São Paulo – Av. Pres. Juscelino Kubitschek, 1545, Itaim Bibi
📱 Agende sua consulta: paolosalvalaggio – Link in Bio & Creator Tools | Beacons
👉 Siga-me nas redes sociais:
📸 Instagram: @paolo_salvalaggio
🎵 TikTok: Dr. Paolo Salvalaggio on TikTok
🔗 LinkedIn: Paolo Salvalaggio📝 Blog: Blog – DR. Paolo Rogerio de Oliveira Salvalaggio


