Blog
Gastrinoma: O Que É, quais os Sintomas, como fazemos o Diagnóstico e quais são as opções de Tratamento
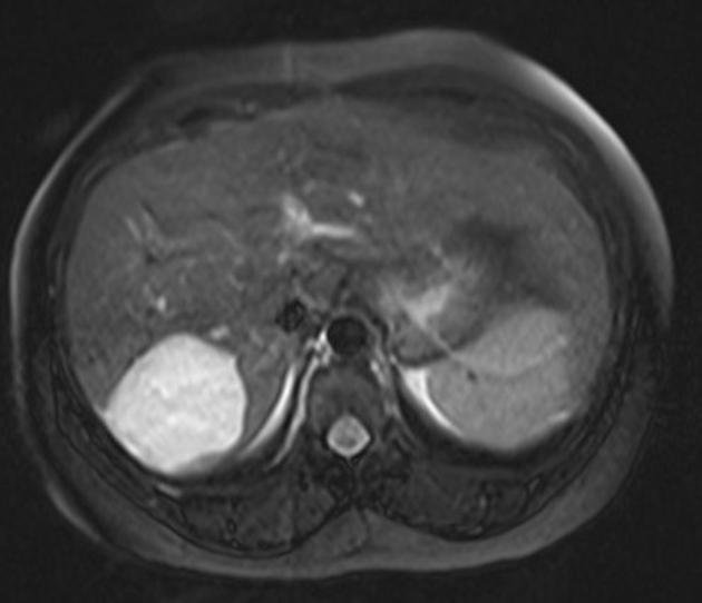
Tumores Benignos do Fígado: O Que Você Precisa Saber sobre hemangiomas, adenomas e hiperplasia nodular focal
Cistos no pâncreas: o que são, quais são as causas, os sintomas, como se confirma o diagnóstico, detalhes do tratamento, das cirurgias e da sua recuperação










